康美醫院網站|聯系我們
我院爲74歲多發性肝膿腫患者成功實施微創手術
您現在的位置是:康美醫院網站 > 新聞動态 > 醫院動态 > 我院爲74歲多發性肝膿腫患者成功實施微創手術

我院爲74歲多發性肝膿腫患者成功實施微創手術

發布時間:2018-04-23 閱讀:3623
        近日,我院外一科運用腹腔鏡技術爲74歲多發性肝膿腫患者成功實施微創手術。
        許婆婆,74歲,流沙人,反複上腹部疼痛,伴有發熱1個月。在外院就診,但一直得不到很好的診治。病情反複,高熱39℃,日漸消瘦。3月25日轉至我院就診,收住外一科。




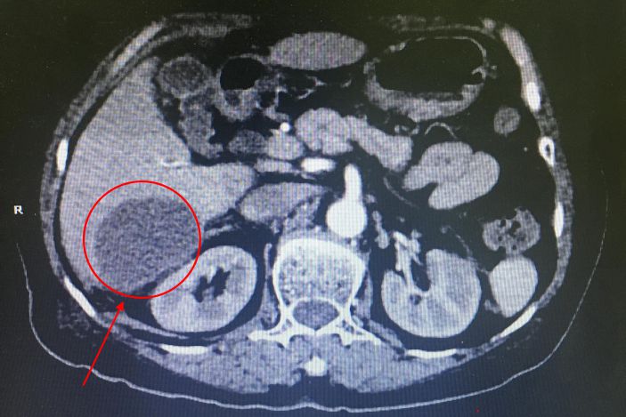
△術前病竈部位


        經CT檢查發現患者肝右葉S5、S6、S7段多發膿腫,病竈最大的達6.0*4.2cm,結腸肝曲周圍炎性滲出。據了解,肝膿腫是肝髒化膿性病變,若不積極治療,死亡率達10%-30%。
由于許婆婆病情重,且高齡、體質較差、基礎疾病多,我院外一科随即組織專家進行讨論,對手術進行評估,并拟定詳細手術治療方案。
        在經過精心準備後,3月30日,我院外一科黃懷堅副主任醫師爲其實施腹腔鏡下肝膿腫切開引流術。許婆婆的大網膜、腸系膜、結腸與肝髒組織粘連嚴重,操作不當易出血及引起周圍組織損傷。黃大夫憑借着娴熟的微創技術,小心翼翼地完成粘連分離,直達病竈,用吸引管将膿腔裏面的膿液吸淨,并對膿腔反複仔細清理幹淨,後放置引流管,順利完成手術。整個手術過程創傷小、出血少,術後許婆婆平安返回病房,由醫護人員進行細心護理。



 


 △4月11日CT顯示病竈已經恢複良好


      術後第二天許婆婆上腹部疼痛症狀消失,體溫恢複正常,健康狀況逐日好轉。4月11日,CT顯示病竈已經恢複良好,随于當天拔除引流管。4月15日康複出院。
      我院精湛的醫術以及醫護人員對老人家的悉心關懷得到許婆婆家屬的高度贊揚。許婆婆出院前,她的家屬還特地送來錦旗“醫術精湛,服務暖心”,對我院醫護人員表示深深的感謝。

 





 

-----------------------  專家簡介  -----------------------




        姓名:黃懷堅

        科室:外一科

        副主任醫師

        廣東省醫師協會外科醫師分會委員,揭陽市醫學會外科分會委員,從事普外科及肝膽專業20年,對肝膽微創技術有獨到研究。

獲揭陽市科技進步獎一等獎一次。






醫院地址:廣東省普甯市流沙新河西路38号 郵政編碼:515300 聯系電話:0663-2787777 傳真号碼:0663-2767511

Copyright © 2011 康美醫院. All rights reserved. 京ICP證000000号醫療機構執行許可證:07190114-844528190A1001

普甯宏圖網絡